Dr. Gonzalo Martín Gorría


Dr. Luis Ruiz Guerrero
Especialistas en Cardiología
Cardiología personalizada de vanguardia
Explora todo lo que te podemos ofrecer, en la prevención, diagnóstico y tratamiento de la Salud Cardiovascular y en la Cardiología Deportiva.
Prevención cardiovascular






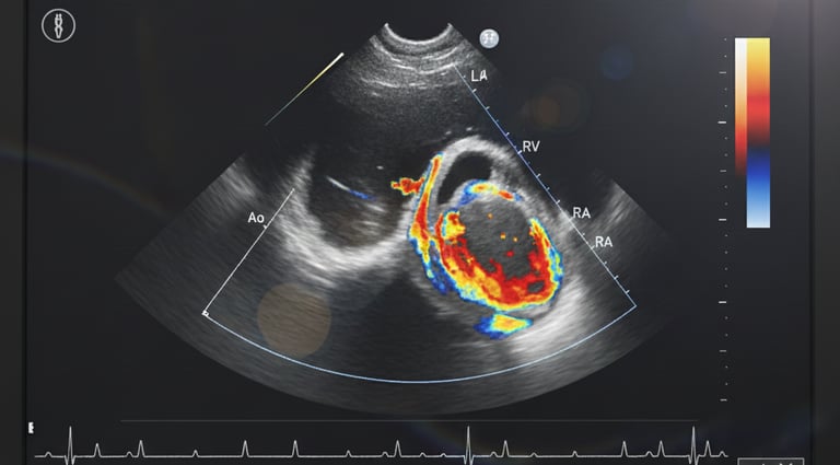
Diagnóstico por imagen
Veamos el corazón en acción. La imagen más clara de tu salud empieza aquí.
Ritmo bajo control: del electrocardiograma al holter, para detectar arritmias en tu día a día y guíar un tratamiento preciso.
Estudio de arritmias






Pruebas de esfuerzo
Cardiología deportiva
Anticiparse es cuidarse. Conocer tu riesgo genético te permite prevenir y actuar antes de que sea tarde.
Prueba de esfuerzo con propósito: medimos tu límite real para optimizar el rendimiento del deportista y ajustar con seguridad el tratamiento en cardiopatías.
Asesoramiento genético
Evaluación personalizada para garantizar la seguridad cardiovascular del deportista en cada nivel de actividad.
Anticiparse es proteger. Identificamos factores de riesgo y diseñamos estrategias personalizadas.
Diagnóstico y seguimiento integral de las principales patologías cardiacas
Cardiopatía isquémica, insuficiencia cardiaca, miocardiopatías, valvulopatías, enfermedades de la Aorta, arritmias y prevención de muerte súbita






“Tu corazón merece atención personalizada. Hoy es el mejor día para cuidarlo”
Solicita consulta
Contacta y pide fecha para tu cita (privados y aseguradoras)
Teléfono citas
942 584 100
Email citas


Enlace



